Avidol
杜博教授领导的机器学习小组在医学人工智能方面研究取得了新进展。该团队在全球核磁共振医学图像前列腺分割大赛(PROMISE12)中,荣获该项赛事的总冠军。竞赛团队成员包括:2017级博士生朱其奎、杜博老师和美国伦斯勒理工学院闫平昆博士。
PROMISE12(Prostate MR Image Segmentation)由International Conference on Medical Image Computing and Computer Assisted Intervention 2012(MICCAI2012)国际医学图像处理顶会组委会于2012年开始举办,该项赛事的目的是为了克服医学图像前列腺分割过程中的难点,并提出精确的semi-automatic分割算法。比赛所提供的前列腺数据是从不同的医疗机构的医疗设备采集所得,数据具有不同分辨率和特征。自2012年比赛举办以来,实验精度不断的被刷新。2012年国际著名的医疗设备公司Imorphics以84.36分的成绩取得了第一名。2016年香港中文大学的陈浩团队以86.65分的总成绩刷新了记录,在随后的两年中,陈浩团队一直处于领先的地位。直至2018年,我们团队提出了一种新型的网络框架,该网络框架采用了一种更具优越性的Densely-connected Residual Blocks(DRBs)模块,该模块能够克服随着网络的层数增加所带来的参数过多、难于训练、信息丢失、网络易于过拟合等问题。除此之外,我们在网络中加入了Attention Module,该模块使得我们所提出的网络能够将“注意力”用于前列腺区域并剔除了噪声的影响,从而提升前列腺区域的分割精度。目前,我们所提出了方法所获总分为89.18分,比第二名(飞利浦深度学习实验室团队)87.67分高出1.51分。目前,该实验所采用的方法已经投稿至IEEE TIP(CCF A类)。比赛结果见链接: //promise12.grand-challenge.org/evaluation/results/
除该方法之外,我们团队还曾经提出两种不同的前列腺分割模型,详细内容可参考于:
Zhu Q, Du B, Turkbey B, et al. Deeply supervised CNN for prostate segmentation[C]International Joint Conference on Neural Networks. IEEE, 2017:178-184.Zhu, Qikui, et al. "Exploiting Inter-Slice Correlation for MRI Prostate Image Segmentation–from Recursive Neural Networks Aspect." Complexity 2018. vol. 2018, doi:10.1155/2018/4185279.

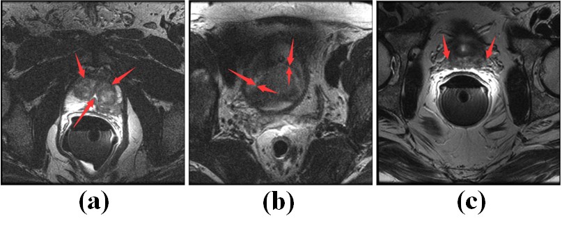
图一:前列腺分割面临的挑战:(a)前列腺区域存在大量的噪声;(b)前列腺边缘模糊;(c)前列腺周边的组织与前列腺的分布特征类似。

图二:部分分割结果。黄色轮廓线为专家标记结果,红色轮廓线为我们所提方法分割结果。